发布时间:2022-07-09 浏览:3040 次
X线摄影技术自诞生之日起,便在全球范围内得到了广泛的应用,并成为现代医学影像检查的基础。二十年来,X线摄影技术经历了数代的技术跃升,极大地提升了影像的清晰度与精准性,对于临床应用有着重要的价值。首先,我们大致回顾一下X线摄影技术的发展脉络:
2000年:间接数字化X线摄影技术(CR):影像板作为探测器工具,仅需一次曝光即可完成影像采集,无需暗室,相对于之前的胶片摄影来说,是一次巨大的技术飞跃。 2004年:直接数字化X线摄影技术(CCD-DR):基于CCD探测器获得了快速发展,开启了直接数字化X线摄影序幕,具有更快的成像速度、更便捷的操作、更高的成像分辨率。2010年:平板直接数字化X线成像技术:基于非晶硅平板探测器的直接数字化成像X光机在行业内获得快速发展,平板DR昭示着数字化X线机的未来发展方向。2016年:动态数字化X线摄影技术(动态DR):突破影像技术限制,研发出动态平板探测器,可实现连续多帧摄影,并通过硬件、软件与图像算法的协同,输出高对比度和分辨率的动态影像。
相较于常规数字化X线摄影技术,动态DR进一步扩宽了X线片的临床筛查与诊断应用范围、思路与实践,伴随影像精准诊断的时代新要求,动态DR成为DR领域未来的发展方向!
动态DR的临床优势
更加精准的临床诊断
与传统平板DR相比,动态DR具有可视化操作的功能,能解决传统DR不能解决的问题,减少漏诊误诊,提高临床诊断的精准性。
由于常规静态数字化X线检查是基于二维解剖平面成像,导致在对于重叠病灶、微小模糊病灶、隐匿性病灶、粘连等问题无法进行精准诊断,动态DR通过多角度动态实时影像实现全方位观察,能更好的发现病灶并进行相关疾病的治疗。

更加丰富的临床应用
动态DR集常规拍片、胃肠、透视、造影于一体,可应用于临床各科室,如体检科、内科、外科、骨科、急诊科等,临床用途更加广泛。
不同于常规静态DR只能进行平片摄影检查,动态DR可以满足多种临床检查需求,包括静态检查、透视检查、造影检查、脊柱及下肢全长拼接检查,相较于静态DR具有丰富的临床应用,且动态DR检查更精准、直观,摆位摄片效率极大地提升,大大节省拍片时间。

更多高级智能应用
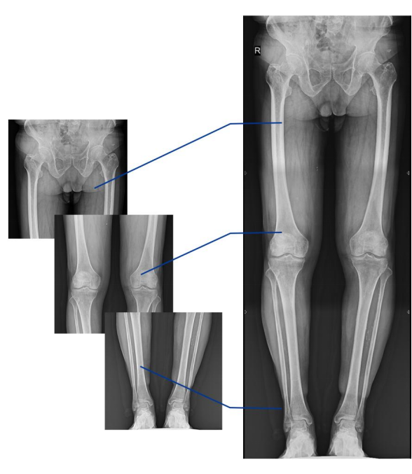
动态DR影像采集幅面大,17×17英寸超大视野,可覆盖成年人的全胸全腹,并且能在连续动态中实时高清点片,还可以进行视频保存,在会诊过程中可以回放影像检查视频,从而达到精准诊断的目的。同时动态DR还具有全身拼接功能,尤其适用于全脊柱和全下肢摄影,辅助脊柱畸形矫形治疗、康复检查,为临床提供高精度图像。

满足多层次医院诊断需求
动态DR的多功能、超性价比的特点也让其在应用上可以满足多层级医院的普放诊断需求。随着分级诊疗制度的推进,对基层医疗机构的医疗服务能力提出了更高要求,而常规静态DR已经不能满足多类病种的基层首诊需求,动态DR的多功能融合设计则为基层医疗机构这一矛盾提供了解决方案。
助力新冠疫情筛查
在新冠疫情防控方面,动态DR也有着独特的优势。相较于常规静态DR,动态DR透视下成像,提供的诊断信息更丰富。此外,动态DR具备隔室远程操控的特点,同时通过智能摆位和旋转脚踏等功能,避免操作医生与患者的接触,降低感染风险。

普利德动态DR产品系列
随着动态数字化X线摄影技术的进一步发展,动态DR有望全面取代常规静态DR,从根本上改变普通数字化X线摄影漏诊与误诊的临床弊端,极大提升DR诊断的精准性。普利德医疗引领行业发展趋势,拥有双立柱动态DR、U臂动态DR等多种常用动态DR类型,组成了类型丰富的动态DR产品线,全面满足不同层级医院的普放诊断需求。